Chụp cộng hưởng từ sọ não - những thông tin ai cũng cần nằm lòng
Chụp cộng hưởng từ sọ não không cần tiêm thuốc tương phản nhưng vẫn cho hình ảnh chi tiết và rõ nét về các bất thường của sọ não, nhất là u não, được áp dụng phổ biến trong chẩn đoán bệnh lý thần kinh. Đây là điều mà các phương pháp chẩn đoán hình ảnh khác không làm được.
Nhờ sự phát triển không ngừng của công nghệ trong đó có sự máy chụp cộng hưởng từ mà việc chẩn đoán hình ảnh trong y học đã trở nên dễ dàng hơn nhiều. Với loại máy này, thông qua kỹ thuật chụp cộng hưởng từ sọ não bác sĩ có thể phát hiện sớm, đánh giá tốt các bất thường sọ não, chẩn đoán bệnh lý thần kinh từ đó có hướng điều trị hiệu quả nhất.
1. Chụp cộng hưởng từ sọ não là gì?
Chụp cộng hưởng từ MRI sọ não là một kỹ thuật hình ảnh tiến tiến có ưu thế hơn so với phương pháp chẩn đoán hình ảnh khác nên được áp dụng phổ biến trong việc chẩn đoán các bệnh lý thần kinh. Với kỹ thuật này, không cần tiêm thuốc tương phản vẫn thu được hình ảnh chi tiết và rõ nét về các bất thường của sọ não, nhất là u não, định vị được 3 chiều mà các phương pháp khác không làm được.
Máy chụp cộng hưởng từ sọ não gồm một nam châm hình bánh rán lớn có đường hầm ở trung tâm. Người bệnh sẽ được đặt trên một mặt bàn có thể trượt tự động vào đường hầm này. Khi chụp, sóng radio sẽ đập vào các vị trí từ của các nguyên tử trong cơ thể và phát ra tín hiệu gửi đến một ăng-ten và máy tính. Máy tính sẽ thực hiện các phép tính để cho ra hình ảnh đen và trắng về các mặt cắt ngang của sọ não. Hình ảnh của vùng được khảo sát có thể được chuyển đổi thành dạng 3D để giúp xác định các trục trặc và bất thường trong não dễ dàng hơn.
Về cơ bản, MRI sọ não là phương pháp không xâm lấn nhưng hình ảnh lại cho chỉ thị thang xám có độ sắc nét cao, giúp đánh giá và phát hiện những tổn thương, bất thường của sọ não từ rất sớm. Không những thế, phương pháp này còn đánh giá được chức năng của não, chức năng vùng cảm giác cũng như chức năng vùng vận động, phát hiện khối u bất thường, rối loạn trao đổi chất... nên được y học đánh giá rất cao.

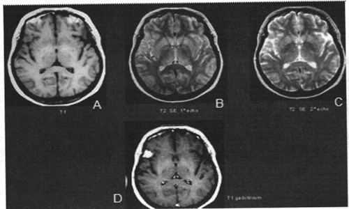
Chẩn đoán thần kinh qua hình ảnh chụp cộng hưởng từ não
2. Khi nào nên chụp cộng hưởng từ sọ não?
2.1. Người có những triệu chứng sau nên chụp cộng hưởng từ sọ não
Nên tham vấn ý kiến bác sĩ chuyên khoa về việc chụp MRI sọ não khi có những triệu chứng sau:
- Chóng mặt trong thời gian dài không cải thiện;
- Đau đầu kéo dài ở nhiều mức độ khác nhau, đau nửa đầu hoặc đau cả đầu, đau âm ỉ hoặc thành cơn...;
- Trí nhớ suy giảm rõ rệt: tư duy kém, khả năng tập trung giảm, nhầm lẫn, hay quên...;
- Mất ngủ thường xuyên, ngủ không sâu, khó vào giấc, hay thức giấc sớm mà không ngủ lại được...;
- Liệt nửa người, người yếu đến mức khó cầm nắm, khó vận động, rối loạn cảm giác, hay rơi thức ăn 1 bên...;
- Thị lực giảm rõ rệt hoặc đau một bên;
- Miệng méo, mặt méo, khó nói hoặc khó nghe;
- Táo bón, cứng gáy, nôn vọt, co giật, động kinh;

Những triệu chứng hay gặp trong một số bệnh liên quan đến não bộ
2.2. Các trường hợp bệnh lý cần chụp cộng hưởng từ sọ não
Một số trường hợp sau cần phải chụp cộng hưởng từ sọ não mới phát hiện được bệnh lý bên trong:
- Bị chấn thương sọ não;
- U dây thần kinh sọ não, u não;
- Nhồi máu não, xuất huyết não, tai biến mạch máu não;
- Viêm màng não, viêm não;
- Dị dạng mạch máu não, bệnh lý mạch máu não, xung đột thần kinh – mạch máu;
- Dị tật bẩm sinh ở não: khuyết não, teo não...;
- Xơ cứng rải rác, thoái hóa chất trắng;
- Theo dõi sau phẫu thuật não.

Hướng dẫn bệnh nhân tư thế nằm chụp cộng hưởng từ sọ não
3. Chụp cộng hưởng từ sọ não có tầm quan trọng như thế nào?
So với những phương pháp chẩn đoán bằng hình ảnh khác thì chụp cộng hưởng từ sọ não cho thấy nhiều ưu điểm hơn hẳn:
- Có thể phát hiện rất nhiều tình trạng bệnh lý của não cũng như bất thường về cấu trúc não như khối u, nang, xuất huyết, phù nề, viêm, nhiễm trùng, có vấn đề về mạch máu, tổn thương do chấn thương, đột quỵ;
- Cung cấp hình ảnh rõ ràng của các thành phần nhu mô não mà nếu chỉ chụp CT scan, siêu âm hoặc X-quang thông thường khó có thể thấy được. Cũng nhờ thế mà chụp cộng hưởng từ sọ não giúp chẩn đoán bệnh lý thân não, tuyến yên vô cùng hiệu quả;
- Đóng vai trò đánh giá các vấn đề khác như: đau đầu kéo dài, cơ yếu hoặc liệt, các bệnh lý hệ thần kinh mãn tính;
- Cho hình ảnh rõ nét, chi tiết về u não;
- Quan sát được mạch não mà không cần tiêm thuốc tương phản;
- Vô cùng an toàn dù có phải chụp nhiều lần để đánh giá tổn thương vì không gây xâm lấn và không chứa bức xạ ion hóa;
- Phát hiện giai đoạn sớm của bệnh đột quỵ;
- Đánh giá được các phần bị xương che đi hoặc rất khó quan sát khi chụp bằng các phương pháp khác.

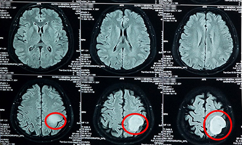
Phát hiện khối u não qua hình ảnh MRI
4. Quy trình chụp cộng hưởng từ sọ não tại MEDLATEC
Người bệnh chụp cộng hưởng từ sọ não tại MEDLATEC sẽ cảm thấy yên tâm, thoải mái bởi tại đây bạn sẽ được các cán bộ của chúng tôi hướng dẫn cụ thể từng bước sao cho thu được hình ảnh chụp chất lượng nhất. Không những thế, thời gian chụp chỉ trong khoảng 20 - 40 phút mà không có bất kỳ áp lực nào. Quá trình chụp lần lượt diễn ra nhanh chóng và chuyên nghiệp qua các bước như sau:
- Bước 1: Đăng ký chụp MRI sọ não qua hệ thống đặt lịch online hoặc đăng ký trực tiếp tại quầy (3 phút).
- Bước 2: Lên phòng chụp (2 phút).
- Bước 3: Chuẩn bị vào phòng chụp, thay đồ, nghe hướng dẫn của chuyên viên kỹ thuật (3 - 5 phút).
- Bước 4: Tiến hành chụp cộng hưởng từ (8 - 15 phút).
- Bước 5: Chờ nhận kết quả chụp cộng hưởng từ (5 - 15 phút).
- Bước 6: Bác sĩ đọc kết quả và tư vấn hướng điều trị cho người bệnh (nếu cần). Khoảng thời gian này phụ thuộc hoàn toàn vào kết quả chụp MRI.

Bệnh nhân được chụp cộng hưởng từ tại MEDLATEC
Kể từ khi chính thức đưa hệ thống máy MRI 1.5T của hãng GE - Hoa Kỳ vào hoạt động, đến nay Bệnh viện MEDLATEC đã nhận được rất nhiều đánh giá tích cực từ phía khách hàng như: chất lượng hình ảnh rõ nét, thời gian chụp nhanh, chuyên viên kỹ thuật hướng dẫn nhẹ nhàng và làm việc tận tâm,... Bất kì khi nào cần được tư vấn về chụp cộng hưởng từ sọ não, cột sống, vùng bụng,... hãy liên hệ trực tiếp với chúng tôi qua số điện thoại 1900 565656 hoặc qua website, đảm bảo bạn sẽ nhận được những thông tin vô cùng bổ ích.
Bác sĩ Nguyễn Công Duy